Product
deepcOS® AI Copilot

Agentic AI-powered interface connecting insights & actions for coordinated patient care

deepcOS® AIR®

Automated AI-driven reporting to significantly reduce reporting time

deepcOS® Hub

Centralized control and support for your deepcOS® environment

Gate

Securely connect to your Healthcare IT systems and the AI Marketplace.

Cloud-Native Deployment Platform

Access Radiology AI in a cost effective and scalable way

Monitoring

Unified analytics and real-world insights to measure AI performance, reliability, and clinical alignment

Orchestration

Ensure scans are automatically sent to the right AI solution

AI Marketplace

Access commercial AI solutions from leading vendors

Clinical Integrations

Seamlessly integrate AI results with existing interfaces

Data Privacy

Ensure PHI remains private and under your control

AI Evaluator

Compare the performance of AI solutions for the same use case

Why deepcOS
CLINICAL INSTITUTIONS
Radiologists

Enrich your radiology workflow with AI

Healthcare Management

Generating attractive ROI with simplified AI deployment

Data Protection Officers

Ensure personal health information is secure

Medical Research Groups

Enabling medical imaging and AI research projects

IT Departments

Streamlining AI integration into the existing infrastructure

Chief Information Officers

Transforming your HIT with unparalleled information security and data governance

PARTNERS
AI Partners

Deploy your AI solutions, at scale

HIT System Providers

Enhance your medical imaging systems with leading AI

Distribution Channels

Strategically differentiate your business with AI

AI PortfolioEvents
Learn
FAQ

Find simple answers to frequently asked questions about deepcOS

Media

Webinars, customer interviews, KOL testimonials, and product launches

Blog

Latest industry updates, innovation and educational resources for Radiology AI

News

Stay up to date on the latest news from deepc

Evidence

Peer-reviewed studies and clinical publications on AI in radiology workflows

About
Vision and Mission

See where we’ve come from and our goals for the future.

Career

Join the team that’s accelerating the future of Radiology AI.

SEARCH
CLOSE
Search
Close
Book a MeetingLogin
Search
Close
Back to all AI Solutions

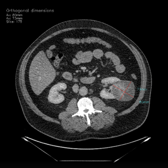
BMVision Kidney

BMVision Kidney represents a novel approach by functioning as both a safety net and a triaging tool in incidental finding pathways for detecting lesions outside the primary field of view for radiologists. This capability ensures incidental kidney cancers and suspicious lesions, often overlooked during routine abdominal imaging, are identified and prioritised for further evaluation.

A black and white photo of a giraffe

Select a study to review AI outputs

View AI results in the deepcOS AI Evaluator
Kidney Lesion

Key benefits

  • Fast and efficient – Radiologists working with BMVision take 33% on average and up to 52% less time to detect, measure, and report kidney lesions from CT scans.
  • Accuracy – 96% AI alone
  • Sensitivity - 99.2% AI with Radiologist

Details

  • Regulatory:
CE
CT
Kidney
Nephrology
  • Clinical Applications:
CE
CT
Kidney
Nephrology
  • Modality:
CE
CT
Kidney
Nephrology
  • Body Part:
CE
CT
Kidney
Nephrology

Peer-reviewed publications

Discover the power of AI for your studies
Schedule a demo today

Related Products

No Related Products found.

Increasing diagnostic quality through the collaboration of medical professionals and AI.

  • contact@deepc.ai
  • HQ - deepc GmbH: Paul-Heyse-Strasse 27, 80336 München, Deutschland
  • USA - deepc Inc: One Broadway 14th FL, Cambridge MA 02142
  • UK: 100 Lambeth Palace Rd, London SE1 7AR

Product

  • Gate
  • deepcOS Gate Manager
  • Orchestration
  • Clinical Integrations
  • Cloud-Native Platform
  • AI Marketplace
  • deepcOS AIR
  • deepcOS Hub
  • AI Evaluator
  • AI Portfolio

Why deepcOS

  • Radiologists
  • Healthcare Management
  • AI Partners
  • HIT System Providers
  • Distribution Channels
  • Medical Research Groups
  • Data Protection Officers
  • IT Departments
  • Chief Information Officers
  • Distribution Channels

Learn

  • FAQ
  • News
  • Webinars
  • Evidence
  • Blog

Company

  • Vision and Mission
  • Career
  • Contact us
  • Events

Increasing diagnostic quality through the collaboration of medical professionals and AI.

  • contact@deepc.ai
  • HQ - deepc GmbH: Paul-Heyse-Strasse 27, 80336 München, Deutschland
  • USA - deepc Inc: One Broadway 14th FL, Cambridge MA 02142
  • UK: 100 Lambeth Palace Rd, London SE1 7AR
  • Imprint
  • Privacy Policy
  • vulnerability-reporting
Disclaimer: AI results are provided by external regulatory-approved AI solutions/partners. deepcOS communicates and displays clinical information to end-users. All medical devices available on deepcOS are regulatory cleared for use in the EU under the MDR/MDD. Only selected medical devices available on deepcOS are regulatory cleared for use in the US under the FDA. The worklist and DICOM viewer components are part of the deepcOS AIDA (v2.1) product, which is classified as software as a medical device under the MDR and is CE-marked. Please contact our support team for further information (contact@deepc.ai).
CE
CT
Kidney
Nephrology
KSA
KSA
KSA
KSA
Hepatology
Hepatology
Hepatology
Hepatology
Nephrology
Nephrology
Nephrology
Nephrology
FDA
FDA
FDA
FDA
CE
CE
CE
CE
UKCA
UKCA
UKCA
UKCA
CH
CH
CH
CH
TGA
TGA
TGA
TGA
CT
CT
CT
CT
XR
XR
XR
XR
MRI
MRI
MRI
MRI
SPECT
SPECT
SPECT
SPECT
MMG
MMG
MMG
MMG
PET
PET
PET
PET
US
US
US
US
DEXA
DEXA
DEXA
DEXA
Knee
Knee
Knee
Knee
Breast
Breast
Breast
Breast
Lungs
Lungs
Lungs
Lungs
Spine
Spine
Spine
Spine
Heart
Heart
Heart
Heart
Hip-Pelvis
Hip-Pelvis
Hip-Pelvis
Hip-Pelvis
Prostate
Prostate
Prostate
Prostate
Brain
Brain
Brain
Brain
Bones
Bones
Bones
Bones
Chest
Chest
Chest
Chest
Whole Body
Whole Body
Whole Body
Whole Body
Abdomen
Abdomen
Abdomen
Abdomen
Skull
Skull
Skull
Skull
Rib Cage
Rib Cage
Rib Cage
Rib Cage
Upper Limb
Upper Limb
Upper Limb
Upper Limb
Lower Limb
Lower Limb
Lower Limb
Lower Limb
Head-Neck
Head-Neck
Head-Neck
Head-Neck
Liver
Liver
Liver
Liver
Kidney
Kidney
Kidney
Kidney
Pancreas
Pancreas
Pancreas
Pancreas
Spleen
Spleen
Spleen
Spleen
Cardiology
Cardiology
Cardiology
Cardiology
Gynecology
Gynecology
Gynecology
Gynecology
Pediatrics
Pediatrics
Pediatrics
Pediatrics
MSK
MSK
MSK
MSK
Neurology
Neurology
Neurology
Neurology
Acquisition & Quality
Acquisition & Quality
Acquisition & Quality
Acquisition & Quality
Emergency
Emergency
Emergency
Emergency
Oncology
Oncology
Oncology
Oncology
Pulmonology
Pulmonology
Pulmonology
Pulmonology
Gastroenterology
Gastroenterology
Gastroenterology
Gastroenterology
Endocrinology
Endocrinology
Endocrinology
Endocrinology
Urology
Urology
Urology
Urology
Senology
Senology
Senology
Senology
Nuclear Medicine
Nuclear Medicine
Nuclear Medicine
Nuclear Medicine